乳腺超音波検査
乳房に超音波をあて、視触診で発見したしこりの性状を観察したり、乳腺の状態を調べる検査です。乳房内の病変の有無、しこりの大きさ、腋わきの下など周囲のリンパ節への転移の有無などを調べます。
- 乳腺超音波検査料金
- 6,000円(税込)
検査にはだいたい15~20分かかります。
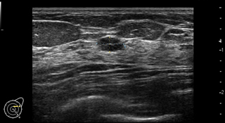
乳腺が発達している若い世代でも、しこりが見つけやすく、小さなしこりも発見できるのが特徴です(検査画像サンプルその1・2)。一方、乳がんの石灰化を画像に映し出すことは難しく、がんが見落とされる心配があります。
乳がんの初期症状の1つである微細な石灰化はマンモグラフィ検査でより鮮明に写し出すことができます。
マンモグラフィ検査
当院の超音波診断装置では、乳腺組織の硬さまでわかるようになっており、触診の代わりに画像で確かめることができるようになってきています。放射線被ばくがないため、妊娠中の女性でも検査を受けることが可能です。痛みを伴わず、身体的苦痛がないのもメリットです。
『要受診』『要精密検査』と
診断された方へ
対象となった検査項目について、自己判断や放置をせずに、速やかに医療機関を受診し、
専門医による診断や検査結果に基づいてご自身の健康の再確認をしていただくことが大切です。
当グループの常磐病院の乳腺外科では、健診後のフォローアップを外来診療でお受けしております。


